Согласно информации ГУ Санэпидемслужбы в Киевский области в воздух попадает 37 наименования загрязняющих соединений: свинец (3,47 т / ч), хром (3,44 т / ч), диоксид азота (11588,97 т / ч), никель (2, 58 т / ч), фтор (0,048 т / ч), диоксид серы (44000,49 т / ч), взвешенные твердые частицы — в непосредственно пепел, сажа, пыль (20651,32т / ч). Упомянутые соединения при постоянной ингаляционной действия негативно влияют на органы дыхания, центральную нервную и сердечно-сосудистую системы, пишет gazeta.ua.
По информации Санэпидемдслужбы, только в прошлом году теплоэлектростанция выбросила в атмосферу Киевской области почти 76 000 тонн различных веществ! В частности, это свинец, хром, диоксид азота, никель и другие тяжелые металлы, которые оседают в организме человека и могут спровоцировать серьезные заболевания кроветворной системы, сердечно-сосудистой и органов дыхания.
Согласно экспертному заключению № 8645, Трипольская ТЭС оказывает существенное влияние на пылевое загрязнение атмосферного воздуха населенных мест в 15-километровой зоне вокруг станции, в которую входят города Обухов и Украинка, села Деревянное, Красное Первое, Щербановка, Халепья, Таценки , Плюты. В этих населенных пунктах обнаружено превышение предельно допустимых концентраций (ПДК) взвешенных частиц в 4-20 раз. В восточной части города Украинка, селах Таценки и Красное Первое возможное превышение среднесуточных ПДК в 13-65 раз, что соответствует принятой классификации «сильно загрязненная атмосфера». А в большей части Триполье и юго-западной части Обухова атмосфера была названа «экстремально загрязненной».
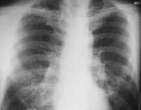
Учитывая преимущественно микронные и субикронные размеры взвешенных в атмосфере частиц, их форму и химический состав, исследования и рекомендации ВОЗ по содержанию в воздухе твердых частиц размерами менее 10 и 2,5 мкм, результаты медико-экологических исследований из литературных источников, эксперт пришел к выводу о существенном (недопустимого) риска для населения обследованной территории заболевания дыхательных путей (фиброз, гранулема, силикоз легких), в том числе онкологических, вследствие пылевого загрязнения атмосферы, вызванного хозяйственной деятельностью Трипольской ТЭС
- intense_post_subtitle:
- intense_post_single_template:
- intense_featured_gallery:
- a:1:{i:0;s:4:"4215";}
- intense_featured_image_type:
- standard
- intense_image_shadow:
- null
- intense_hover_effect_type:
- null
- intense_hover_effect:
- 0
- intense_featured_audio_url:
- intense_featured_video_type:
- intense_featured_color:
- dsq_thread_id:
- 5120622486
- dsq_needs_sync:
- 1

